Professional implant care for your best smile yet.

Dental implants are the most advanced way to replace a missing tooth or teeth. They are currently the closest you can get to natural teeth it is often reported by patients that implants look, function and feel like natural teeth.



What’s included?


Consultation in state of the art facilities


X Rays & Photos


Full treatment plan, alternatives & costs
Why choose
gatley park


Why choose
gatley park
Gatley Park Dental Practice, is located in the heart of Gatley, Cheshire. We offer state-of-the-art facilities and a relaxing, modern environment.
Dr. Anupam Nandi our Implant and Aesthetic Restorative Dentist has over 18 years’ experience and advanced implant qualifications.
We specialise in replacing missing teeth, restoring failing implants, and delivering natural, long-lasting smiles. Using the latest digital planning and minimally invasive techniques, we ensure every patient receives precision care and exceptional results.


Experienced
Clinical Lead
Experienced clinical lead who places and teaches implants in ICE hospital


0% Finance
for 12 Months


Quick
Appointments/
Consultations


Experienced Clinical Lead
Experienced clinical lead who places and teaches implants in ICE hospital.


0% Finance for 12 Months
Experienced clinical lead who places and teaches implants in ICE hospital.


Quick Appointments/Consultations
Experienced clinical lead who places and teaches implants in ICE hospital.
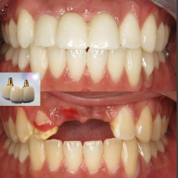
Transformations
Dental Implants closely mimic natural teeth in both appearance and function. They are exceptionally durable and can last a lifetime with proper care.








What our patients say
Thank you for making me smile again. I am so pleased with the result.
You made the process feel easy and I love your attention to detail and precision.
I cannot thank you enough.
I just wanted to drop you a line to thank you for the amazing job you have done with my teeth. I’m so happy with them. So many people have complimented me on them. I’m no longer afraid to open my mouth when I smile.
Thanks again!.
I had an excellent experience with Dr Anupam Nandi. After struggling to get my dental implant issue resolved through my local dentist, Dr Nandi was able to accurately diagnose the problem and provide the right treatment. He is clearly very knowledgeable and confident in his work, which gave me a lot of reassurance. Communication was easy and he took the time to explain everything clearly. I’m very grateful for his expertise and highly recommend him!
Thank you for making me smile again. I am so pleased with the result.
You made the process feel easy and I love your attention to detail and precision.
I cannot thank you enough.
Thank you for making me smile again. I am so pleased with the result.
You made the process feel easy and I love your attention to detail and precision.
I cannot thank you enough.
Thank you for making me smile again. I am so pleased with the result.
You made the process feel easy and I love your attention to detail and precision.
I cannot thank you enough.
Book your
consultation today!
Find Us
Gatley Park Dental Surgery
16 Northenden Rd,
Gatley, Cheadle
SK8 4DN
![]()
![]()
![]()
Monday: 08:30 – 19:00
Tuesday: 08:30 – 18:00
Wednesday: 08:30 – 18:00
Thursday: 08:30 – 18:00
Friday: 08:30 – 13:00
Saturday: Closed
Sunday: Closed
Gatley Park
16 Northenden Rd,
Gatley, Cheadle
SK8 4DN





